Designed for Better Outcomes
In modern restorative dentistry, achieving optimal esthetics
while preserving as much natural tooth structure as possible
is one of the key goals. However, restorative problems are often treated in isolation rather than considering the underlying cause. A chipped tooth, for example, may simply be restored with composite, without addressing the malocclusion that caused the fracture in the first place.
This is where pre-restorative alignment can play a crucial role. By correcting tooth position before restorative treatment, dentists can create a more favorable foundation for minimally invasive restorations, improved esthetics, and long term stability.
Treatment Rationale
The position and alignment of the anterior teeth are directly related to both dental aesthetics and function. When teeth are misaligned, restorative treatments often require more invasive procedures such as excessive composite build-ups, aggressive preparations, or repeated repairs.
Short-term clear aligner therapy offers an effective way to optimize tooth position before restorative treatment.





1. Capture data
2. Upload your case
3. MDE creates the patient avatar
4. MDE desi gns the treatment
5. Review in Exocad viewer
6. Execute with confidence


Integrative Smile Design is not just visualization it is
a production-ready workflow.
Once approved, the digital design becomes the foundation for manufacturing:
Because the same validated CAD files are converted into CAM,
what you approve is what gets produced accurately and
predictably.

Almost half of all restorative and comprehensive cases have the potential for significantly improved results if they are treated withTrioClear® aligner beforehand.
Dr. Ruud Sips
Dentist for implantology and orthodontics

Three out of four patients have the potential to improve their smile. TrioClear® aligners offer a simple and effective solution for patients who want to enhance their smile, especially as the desire for a beautiful smile continues to grow.
Dr. Medha Gupta
Dentist and Product Manager
Implantology

In the majority of cases, TrioClear® aligners are effective in improving functionality by properly aligning teeth to address issues related to cleaning, occlusion.
Mauad Massali
Senior orthodontic assistant

We believe that exceptional restorative outcomes begin well before the prep stage. Our Align & Restore concept redefines how clinicians approach aesthetic dentistry, by starting with tooth alignment guided by Integrative Smile Design. This method prioritises minimally invasive treatment, reduces biological cost, and delivers predictable, reproducible aesthetics using a fully digital, lab-supported workflow. By combining TrioClear® aligner therapy with our advanced F.I.T. Wear, F.I.T. Veneer, ZirNEER and others, practitioners can confidently plan and execute smile makeovers that harmonise aesthetics, function, and long-term stability.
Introducing
Integrative Smile Design is our unique diagnostic core of the Align & Restore workflow. Before initiating any aligner or veneer treatment, we start with a facial driven aesthetic plan to define the desired tooth positions, contours, and proportions.


Smile simulation and ideal arch setup based on golden proportions

Mock up options to preview outcome intraorally

Integration with TrioClear® iDesign for precise, goal oriented aligner movements

Final alignment guided by aesthetic outcome not just dental function


Case Selection
Proper case selection is essential when implementing an Align Restore approach. Many patients presenting with minor crowding, spacing, or small malocclusions can benefit from pre-restorative alignment.
Typical indications include:
More complex cases, such as Class III skeletal discrepancies, may require referral or a multidisciplinary approach.
Focusing on the anterior segment (5-5) can often deliver significant improvements in both function and esthetics while keeping treatment efficient and predictable.
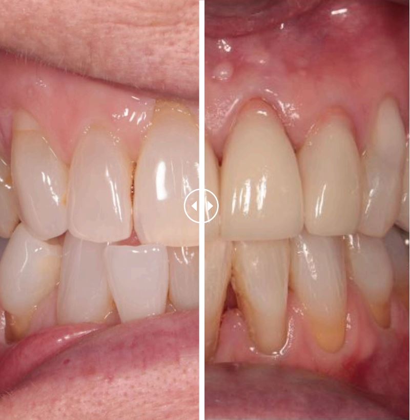
CASE
In this case, the treatment plan followed a clear philosophy:
Align → Restore
First, clear aligner therapy was used to improve tooth alignment and optimize the position of the anterior teeth. Once the teeth were in their ideal position, restorative treatment could be performed in a far more conservative and predictable way.
This approach allowed the clinician to achieve the desired aesthetic outcome while maintaining a minimally invasive treatment strategy.

The Takeaway
Pre restorative alignment is rapidly becoming an essential step in modern restorative dentistry. By optimizing tooth position first, clinicians can simplify restorative procedures, preserve natural tooth structure, and achieve more predictable and long-lasting aesthetic results.
In today s dental practice, clear aligners are no longer limited to orthodontics alone. They have become a powerful tool within comprehensive treatment planning, allowing dentists to treat the cause of restorative problems rather than only the symptoms.
For this reason, aligner therapy is increasingly becoming a must have solution in the modern dental practice. Integrating aligners into daily workflows not only expands treatment possibilities, but also enables clinicians to deliver more minimally invasive, functional, and aesthetic outcomes for their patients.


With our TrioClear®’s innovative Integrative Smile Design concept, comprehensive Smile Design planning, and precise extensive range of veneers, you are empowered to deliver truly transformative aesthetic outcomes. This integrated approach allows you to offer a wider range of patients exactly what they desire: predictable, naturally beautiful smiles achieved through minimally invasive techniques. By combining advanced orthodontic alignment with restorative artistry, you can meet both functional and cosmetic goals with confidence, enhancing patient satisfaction and clinical efficiency.